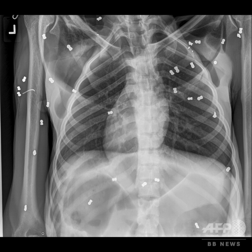
【3月17日 AFP】インドネシア当局は16日、空気銃で74発撃たれたオランウータンが徐々に回復していると明らかにした。

 同国アチェ(Aceh)州当局は今月10日、村民の通報を受け、重傷を負った30歳の雌のオランウータンを発見した。オランウータンは、村民の一人が所有する農園内のジャックフルーツの木の下で死にそうな状態になっていた。このオランウータンの生後1か月になる赤ちゃんも一緒に見つかった。当局はすぐに2匹を保護したものの、赤ちゃんは栄養不良で死んだ。

 同州自然資源保護事務所(BKSDA)のサプト・アジ・プラボウォ(Sapto Aji Prabowo)氏は、「農園に来たオランウータンに脅威を感じた所有者が、オランウータンを追い出そうと試みた」と説明した。保護から1週間が経過し、「ホープ(希望)」と名付けられた母親のオランウータンは少しずつ回復している。サプト・アジ・プラボウォ氏はAFPに対し、「ホープは回復してきており、食べ物も食べ始めた」と語った。

 農園労働者や村の住民は、有害とみなす動物に危害を加えることがあるほか、密猟者がこれらの動物を捕獲しペットとして売ることもある。同州自然資源保護事務所の取り締まり責任者は、「この件が単独の個別的事件なのか、それともマフィアが関与しているのか捜査する」と述べた。

 国際自然保護連合(IUCN)によると、オランウータンは絶滅の危機にひんしており、現在は世界でおよそ10万頭しか残っていない。(c)AFP