Tokyo
-
ミラノ・コルティナ2026に向けてカウントダウン開始 新たな「Team Samsung Galaxy」を発表
-
桜の季節に、もうひとつの桜を! 日本酒『熱海桜』を味わう期間限定「熱海桜フェア」を開催
-
GIGABYTE、CES 2026でローカルAIアプリケーションのための実用的な「AI TOP Utility」を展示
-
国境を越えたサプライチェーン上で生じる人権侵害。その一端を担う消費者に「自覚」を促す<東洋大学SDGs NewsLetter Vol.42>
-
アニメ「コアラ絵日記」グッズが予約販売開始!
-
アニメ「うごく!ねこむかしばなし」グッズが予約販売開始!
-
カスタマーサポート業務全体の80%以上の自動化を実現。進化版「AIエージェント Advanced 導入支援サービス」の提供開始
-
【跡見学園女子大学】生活環境マネジメント学科 石渡ゼミ✕クイーンズ伊勢丹の<第3弾>共同開発商品が発売されました!
-
芝浦工大、JAXA宇宙戦略基金事業に参画 1億2千万人規模の社会シミュレーションを3Dで可視化し、防災の意思決定を高度化
-
東京成徳短期大学が開学60周年を迎え、ソウルオリンピック金メダリスト、初代スポ-ツ庁長官の鈴木大地氏による記念講演会を実施。
-
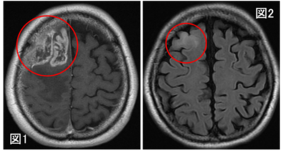
膠芽腫の画像起源の解明~いつから腫瘍は存在していたのか?~(北里大学)
-
世界40か国204チームが挑んだ学生ビジネスコンテストで「Pioneer Award」を受賞 ビジネスアイデア「Prova Tag ― 3秒で証明する、未来の身元認証タグ」---昭和女子大学
-
明治大学公開シンポジウム「異種腎臓移植の臨床応用への期待とそれに伴う社会的課題」を2月15日(日)に株式会社ポル・メド・テックと共催
-
2026年に向けた金融サービスに関する13の予測
-
地域最大級の日本食品&人気の手巻き寿司店「Hand Roll Factory」が登場!
『TOKYO CENTRAL Emeryville(エメリービル)』店
2026年1月31日オープン! -
史上最長(※1)の7ヵ月持続と速効性を両立 『アースガーデン お庭の虫コロリPRO 鬼効きジェット』新発売
-
TVアニメ「ババンババンバンバンパイア」グッズ予約販売開始!
-
化学殺虫成分不使用!置くだけでアリの侵入を長期予防 使いやすさのニーズに応える 『アースガーデン アリよけ撃滅 ゲルタイプ』新発売