カニを一気に4杯食べた女性 急性膵炎で夜中に救急治療
このニュースをシェア
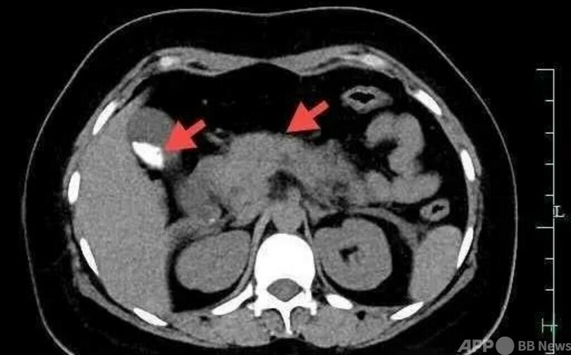
【11月3日 CGTN Japanese】秋のスタミナ補給にカニを食べるのが適した季節です。杭州に住む25歳の女性は先ごろ、カニを一気に4匹食べた結果、腹痛がひどくなり、病院に搬送され救急治療を受けた後、急性膵炎と診断されました。
中国東部浙江省杭州市に住む25歳の女性、慧さんは、健康診断で胆のう結石を患っていると知らされました。日常何の症状もなかったため、特に気にせず過ごしていました。10月20日、両親は家で大きなカニを蒸し、仕事で忙しい娘をねぎらおうとしました。慧さんはそのカニを一気に4杯食べ、食後、上腹部にかすかな痛みを感じ始めました。「ただの食べ過ぎで、少し我慢すれば良くなる」と思いましたが、約30分後に痛みがより激しくなり、家族に杭州市中医学病院へ搬送され、救急治療を受けました。各項目の検査結果と胆のう結石の持病があることから、食べ過ぎによる急性膵炎と診断され、すぐ入院することになりました。その後、抗感染症、鎮痛、酵素抑制など一連の治療を受け、胆のう切除手術を受けました。
医師の話によりますと、胆石症、肥満、脂質異常、糖尿病などの基礎疾患を持つ人は、食べ過ぎを避けるべきです。慧さんはカニみそやカニ膏(雄カニの精液と精のう)を食べ過ぎたことで、重症急性膵炎の発作を招いたとのことです。(c)CGTN Japanese/AFPBB News