中国、女性がヤマモモ食べて腹痛 病院へ
このニュースをシェア
【6月23日 CGTN Japanese】中国では梅雨入り後にヤマモモの旬を迎えます。毎年この時期になると、ヤマモモを食べて腹痛を起こし、病院に行く人が増えます。
つい先日、中国浙江省余姚市在住の女性、王さんは焦りながら苦しそうな顔をして地元の中医病院へ行き、消化器内科の診察室で「おなかが痛い」と苦しそうに医師に症状を訴えました。
王さんはヤマモモを食べる時に種を吐かなくてもいいといううわさを聞き、ヤマモモを食べてデトックスをしようと思いました。その日の午後に山盛りのヤマモモを種ごと食べ、翌朝に激しい腹痛を起こし、たまらずに病院へ来たのです。
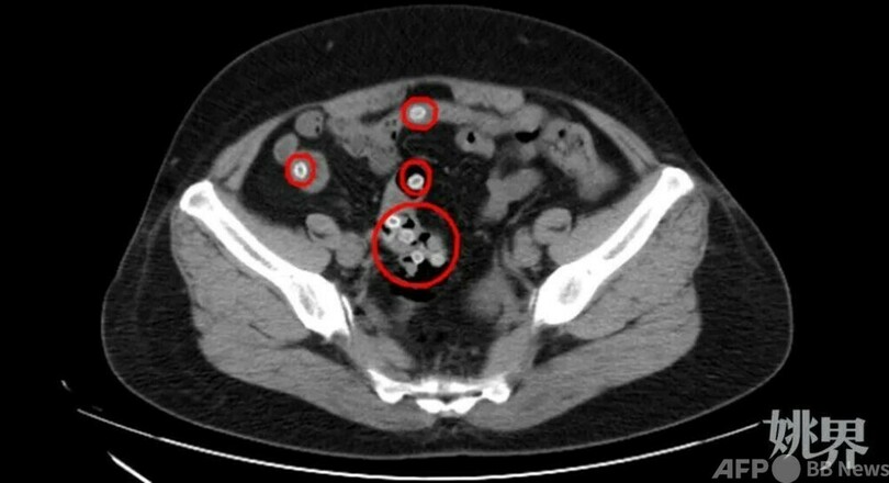
CT検査をすると、王さんの腸内には類円形の高密度の影がいくつもあり、びっしりとした円形の白い点は腸内に滞留しているヤマモモの種で、腹痛を引き起こした原因だと分かりました。
胃けいれんや腸閉塞を引き起こす可能性が高く、ヤマモモの種をできるだけ早く体から排出する必要があると医師は診断し、胃けいれんを緩和させるための鎮痛治療を施し、排便を促す薬を処方しました。薬を服用した王さんは翌日に排便し、腸内に滞留していたヤマモモの種も順調に体内から排出されました。
医師の話では、不注意でヤマモモの種を一つか二つ食べても大きな問題はありませんが、大量に食べれば、のどに詰まる恐れもあり、狭い腸内に滞留して腹痛などの症状を引き起こすことにもなります。ひどい場合は胃の出血や腸穿孔、腸閉塞などの胃腸の病気を招き、大変なことになる可能性があります。
「中国住民の食事ガイドライン」では、果物の摂取量は1日200~350グラムが望ましいとされ、ヤマモモの場合は1日20粒以下が推奨されています。また、胃炎、胃潰瘍、糖尿病、腎不全の患者はヤマモモをあまり食べない方がいいとアドバイスしています。(c)CGTN Japanese/AFPBB News