頭から鉛筆摘出、刺さったのは15年前?ドイツ
このニュースをシェア
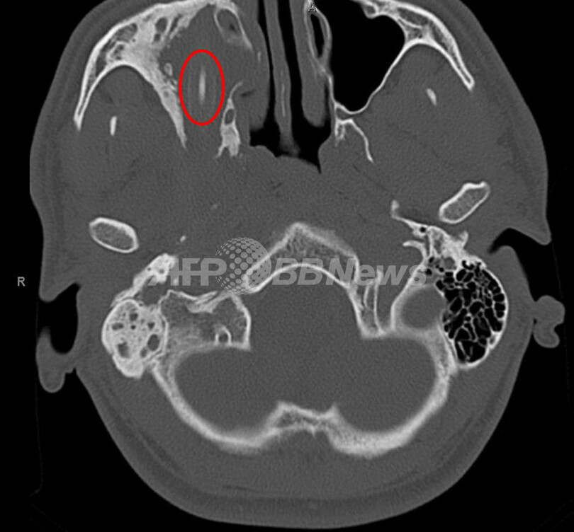
【5月30日 AFP】ドイツで、視力障害や頭痛を訴えていた男性(24)の頭の中から、子どもの頃に入り込んだとみられる鉛筆が発見され、無事摘出されていたことが分かった。
アフガニスタン出身のこの男性は、右目の視力障害や頭痛、右の鼻孔から出る膿(うみ)といった症状を訴えていた。鉛筆がどうやって頭の中に入ったのかは男性にもよく分からないが、15年ほど前の少年期に、転んで鼻から激しく出血したことを覚えていたという。
2011年に独アーヘン大学病院(Aachen University Hospital)で扱ったこの事例は、独西部エッセン(Essen)で今週開かれた会議で発表され、その内容は29日にAFPに送られた。
医師らが行ったCTスキャン(コンピュータ断層撮影)の結果、喉の奥に刺さった長さ7センチの鉛筆により、眼窩(がんか)が傷つけられていることが分かった。摘出手術の後、男性は迅速に回復したが、視力には障害が残ったという。(c)AFP/Hasbanullah Khan
アフガニスタン出身のこの男性は、右目の視力障害や頭痛、右の鼻孔から出る膿(うみ)といった症状を訴えていた。鉛筆がどうやって頭の中に入ったのかは男性にもよく分からないが、15年ほど前の少年期に、転んで鼻から激しく出血したことを覚えていたという。
2011年に独アーヘン大学病院(Aachen University Hospital)で扱ったこの事例は、独西部エッセン(Essen)で今週開かれた会議で発表され、その内容は29日にAFPに送られた。
医師らが行ったCTスキャン(コンピュータ断層撮影)の結果、喉の奥に刺さった長さ7センチの鉛筆により、眼窩(がんか)が傷つけられていることが分かった。摘出手術の後、男性は迅速に回復したが、視力には障害が残ったという。(c)AFP/Hasbanullah Khan